科研学术

分享到微信 ×
打开微信“扫一扫”
即可将网页分享至朋友圈
【抗击新冠肺炎】生命学院吴哲教授团队研发智能超声图像识别技术
文:生命学院 图:吴哲 来源:生命学院 时间:2020-03-10

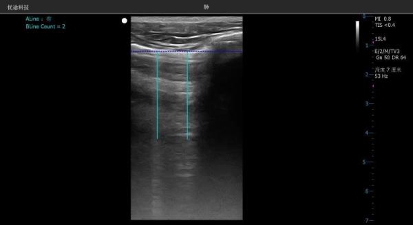
  为应对新冠肺炎疫情,我校生命学院吴哲教授团队近日紧急研发了有针对性的人工智能超声图像识别技术,能够自动实时高亮显示肺部损伤,输出满足专家指南要求的信息。

cef28887cd63c16fdfbad5b281cbecf9.jpg

5.png

  新冠肺炎对肺部的攻击会对肺部造成损伤。特别会形成肺泡间质综合征,造成肺泡间质水肿,甚至肺泡水肿。肺部这样细微的变化可以在超声下留下特殊的声学信号。过去,肺部曾经是超声的盲区,现在由于新冠肺炎疫情的原因,肺部超声备受重视。由于培训不足等原因,一线医生在使用超声检查肺部的时候往往不熟悉超声图像特征,不容易快速判断。

29dcd057991cacd5920b16302dabc9e6.jpg

  吴哲教授团队进而与成都优途科技有限公司合作,把算法集成到微型超声设备上,让病患无须离开病床就可以接受检查。在肺脏模式下,胸膜线和肺泡间质综合征所造成的特殊信号(术语叫做“B线”)都会被自动识别,自动高亮显示,护士都可以进行操作。

  此外,团队通过物理和声学手段模拟出了肺超声的部分伪像征象,比如蝙蝠征、B线、A线、彗星尾征,形成了可以稳定成像的仿体技术,可以帮助广大医学教育机构培训更多专门人才,具有一定的应用价值。

  目前,该技术正在电子科技大学医学院附属肿瘤医院超声医学中心试用,对胸膜及肺泡粘液改变形成的B线自动识别,有利于准确诊断和随访观察,减少与患者的接触时间和感染风险,而且更有助于重症医生操作,远程超声专家会诊,做出更加精准诊断。超声医学中心卢漫教授希望该技术能早日应用于抗疫一线,为战胜疫情做出一定贡献。



编辑:林坤  /   审核:林坤  /   发布:陈伟

热点新闻